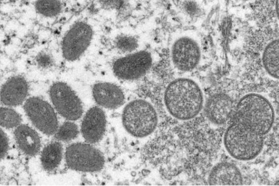
ABŞ-ın Kaliforniya ştatının San Fransisko şəhərində meymunçiçəyi xəstəliyinin sürətlə yayılması səbəbilə səhiyyə sahəsində fövqəladə vəziyyət elan edilib.
APA-nın ABŞ mətbuatına istinadən xəbərinə görə, bu barədə şəhərin meri London Briid “Twitter“ paylaşımında bildirib.
O, qeyd edib ki, fövqəladə vəziyyət rejimi avqustun 1-dən tətbiq ediləcək və bu, şəhər rəhbərliyinə virusun daha da yayılmasının qarşısının alınması üçün resurslar hazırlamağa və ayırmağa imkan verəcək.
London Briid virusun hər kəsə təsir etdiyini, lakin əsasən cinsi azlıq nümayəndələri arasında nəzərəçarpan səviyyədə müşahidə edildiyini qeyd edib. Mer virusla mübarizədə daha çox vaksinə ehtiyac olduğunu vurğulayıb.

